Healthy Smiles For Your Beautiful Family
Quick and Easy Visits Get You Back To What’s Important.
Ask Dr. Flowers About Invisalign and Braces For You And Your Children.
No Matter Your Age, Dr. Flowers Keeps Your Family’s Smiles Beautiful.
Need To See Dr. Flowers Today?
She And Her Team Can Handle That!
Schedule An Appointment Now.

Dr. Flowers has a passion for oral health care and continuing her education in the ever-changing world of dentistry, especially orthodontics. Dr. Flowers became a Certified Invisalign® Provider in 2012 and completed her Comprehensive Program in Straight Wire Orthodontics in 2017. Dr. Flowers takes great pride in furthering her education, keeping up with the latest advances in dental technology and taking her team to some of the best dental continuing education meetings in the country every year. Dr. Flowers works hard to provide the best possible care for her patients.
Dr. Flowers loves working with her team. It is very rewarding for her to be with a positive group of individuals who care so much for each and every patient. She is very excited to see what the future holds for us here at Sparta Smiles and hopes that includes you!
Meet Dr. Ashley Flowers
Our Office
We Are Available
Monday, Tuesday & Wednesday 7am-3pm
Thursday 7am-5pm
Friday 7am-Noon
If you are having a dental emergency after hours or on the weekend, please call or text us at 336-372-3434 and listen to our voicemail for instructions.
We Are Out of Network With All Dental Insurances
Dental care is an important part of your total health program. We believe that caring for your teeth is important to your overall health. As a courtesy we will file your insurance for you.
We accept major credit cards and financing through Cherry and Care Credit.
Your First Visit
Whether we see a child or adult, a first visit is a time to get to know one another. You will be introduced to our doctors and staff and be led through our cutting edge dental clinic. We will take extra time with children to ensure they will be relaxed on this and future visits. We will discuss your immediate needs. All fees will be discussed in advance.
Usually, a first visit for a dental patient will include xrays and an initial exam. One of our doctors will examine the xrays of you or your child’s teeth then discuss anything that may need attention.
A first visit for an orthodontic or cosmetic dentistry patient will include discussing your unique smile and ways to improve it. We will discuss cost, treatment time and cases that are similar to yours so that you will understand what is achievable.
We do our best to run on time. Help us by having your first visit forms filled out when you arrive. Click Here for our forms.

General Dentistry
General dentistry includes the services you remember from going to the dentist. Cleanings, X-Rays, Dr’s Exams and Fillings.
We also include age appropriate dental hygiene instruction.
Teeth Whitening is available in office and with kits you can take home.
We offer oral sedation for nervous patients.
t
Full Service Dentistry
Cosmetic Dentistry
Cosmetic dentistry can help patients with:
• Cracked teeth
• Chipped or fractured teeth
• Discolored teeth
• Excess or uneven gum tissue
• Missing teeth
• Decayed teeth
• Weakened teeth
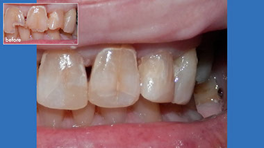
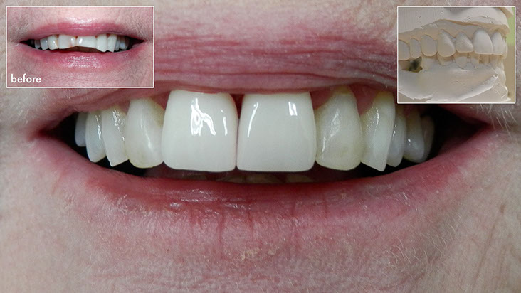
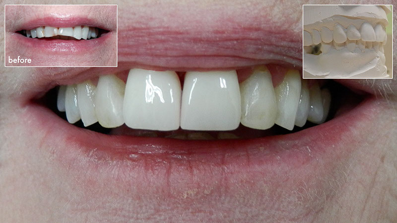
Cosmetic dentistry includes veneers, dental implants, crowns, bridges and gum recontouring, and may also integrate other dental treatments such as white fillings, teeth whitening, and bonding.
At Ashley Flowers Family Dentistry, we offer advanced materials and techniques for our crown and bridge treatments. Today’s restorations can give you healthy teeth that last for years while looking completely natural.
More About Teeth Whitening
More About Implants And Bridges
More About Orthodontic Braces
More About Invisalign
Orthodontics
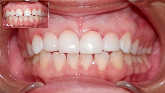
Dr. Flowers may discuss the benefits of having healthy teeth and proper jaw alignment with you. Crooked and crowded teeth are harder to clean and maintain. This can result in tooth decay, gum disease, and lead to tooth loss. Other orthodontic problems can contribute to abnormal wear of tooth surfaces, inefficient chewing function, excessive stress on gum tissue and the bone that supports the teeth, or misalignment of the jaw joints known as the TMJ. These can lead to chronic headaches and face or jaw pain.
For most people, a beautiful smile is the most obvious benefit of orthodontics. After your braces come off, you’ll feel more self-confident.

Invisalign® aligners are clear and designed for orthodontic changes to improve your smile. They are custom-made for you, virtually invisible and fit snugly over your teeth. Dr. Flowers will design a custom treatment plan for you after digitally scanning your teeth. The aligners come in sets that you will change along your course of treatment as your teeth shift and move into more ideal positions to help give you the smile you’ve always wanted!
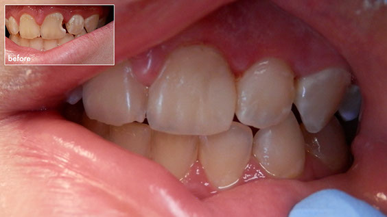
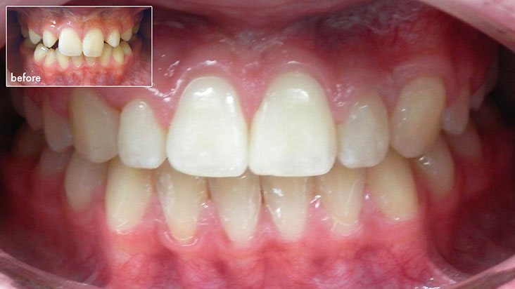
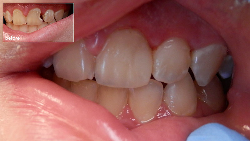
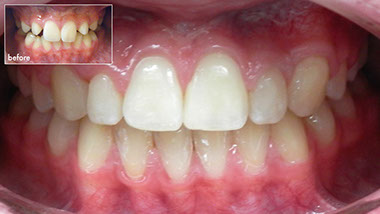
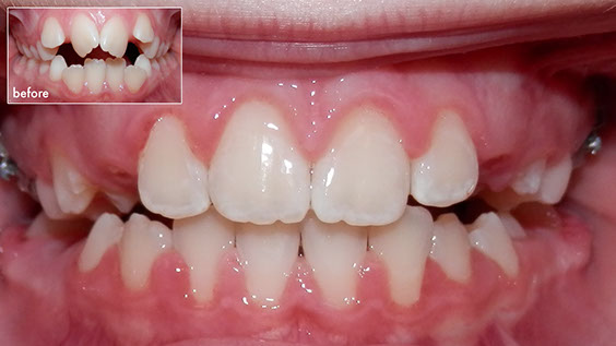
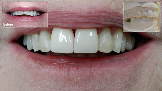
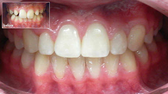
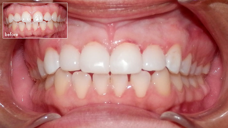
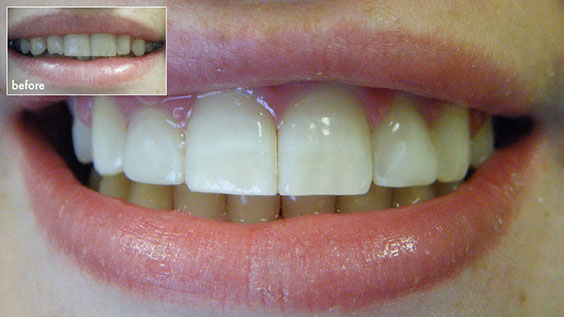
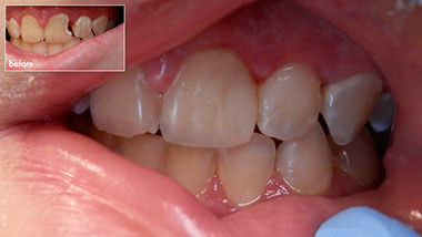
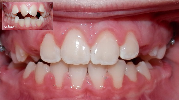
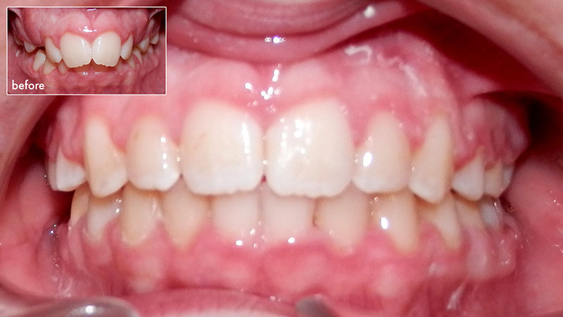
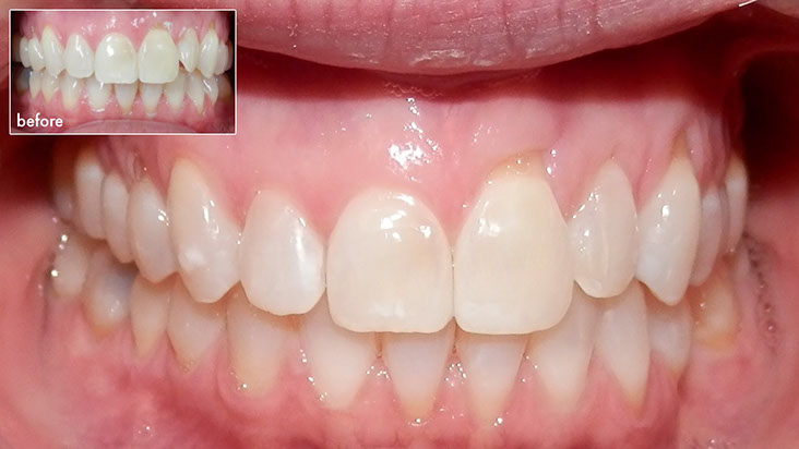
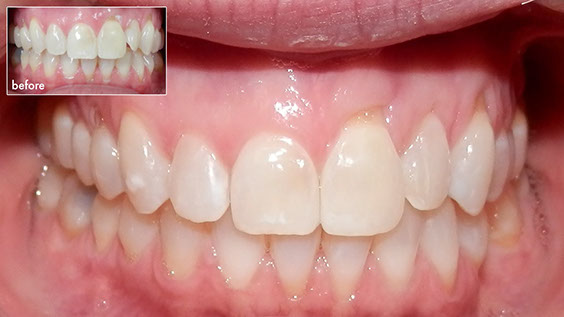
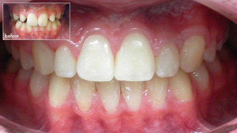
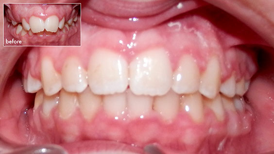
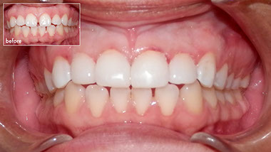
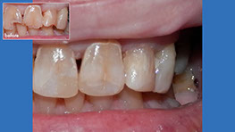
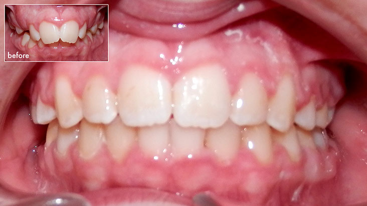
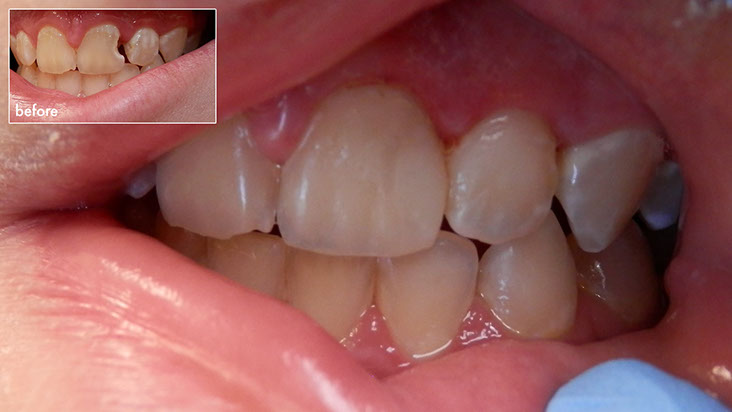
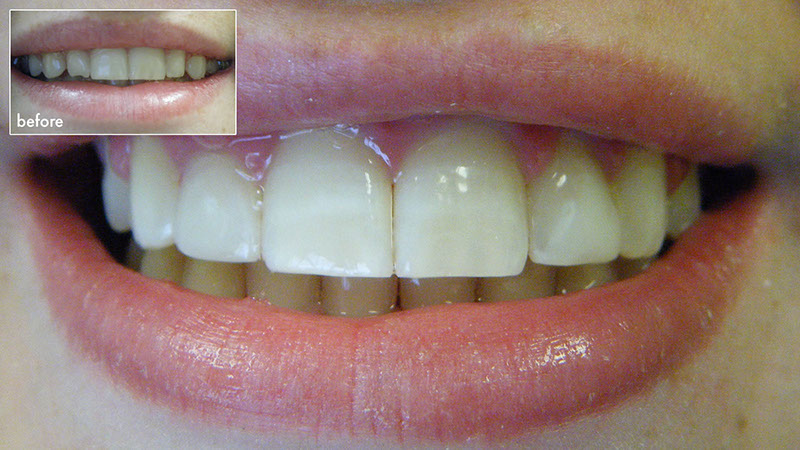
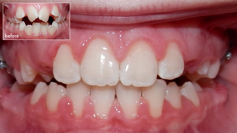
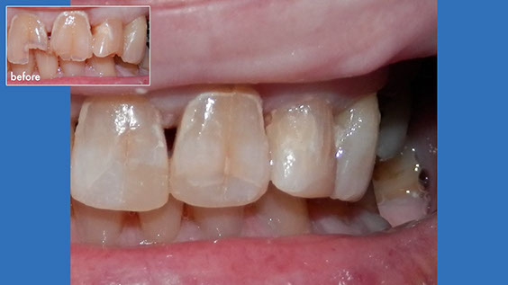
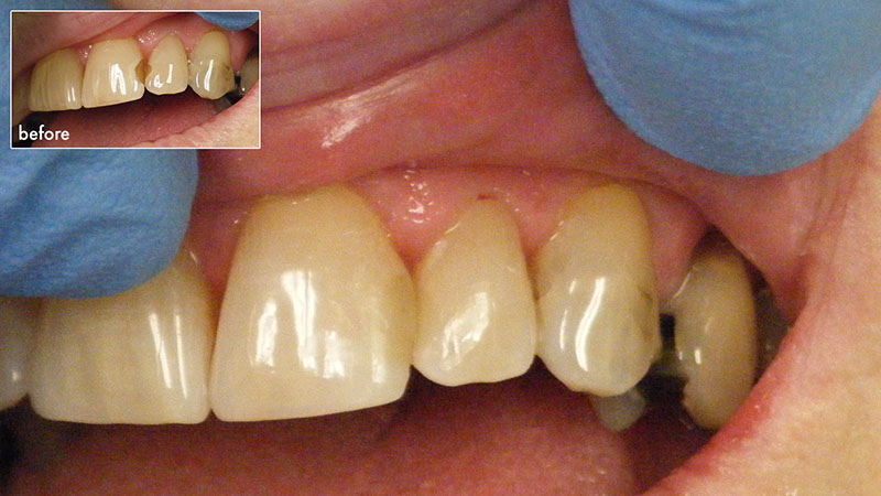
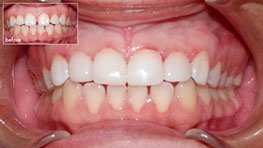
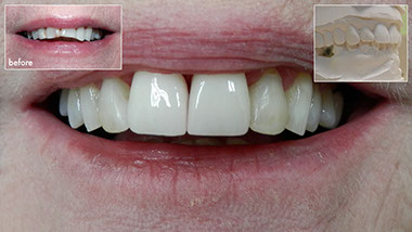
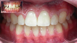
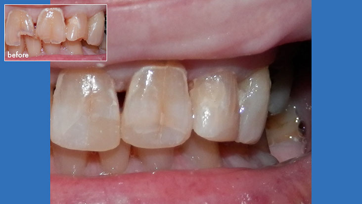
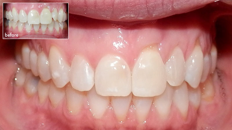
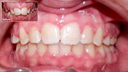
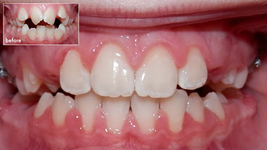
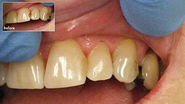
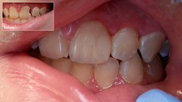
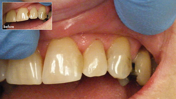
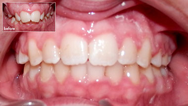
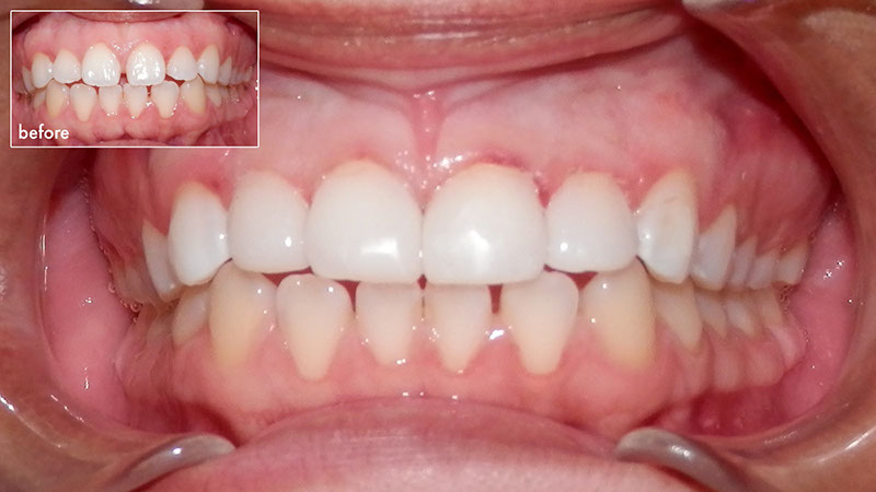
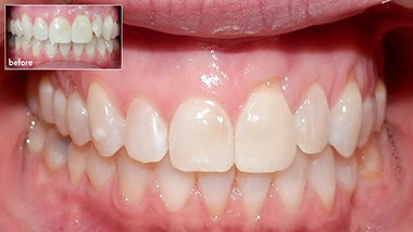
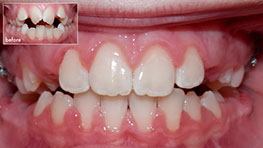
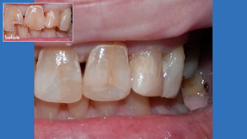
Dr. Flowers’ Smile Gallery
We’re Proud of Our Reviews!
Helping Our Community!
We’re Looking Forward To Your Visit! Schedule Now!
© 2026 Ashley Flowers Family Dentistry Patient Forms Privacy Email
board certified
General Dentist


Ashley Flowers DDS is a Board Certified General Dentist. Dr. Flowers loves practicing dentistry in the beautiful mountains of Sparta, North Carolina. She is originally from Harrisburg, Pennsylvania, but for most of her youth, she has lived in the Piedmont of North Carolina, where she visited the mountains every summer. She graduated from the University of North Carolina at Chapel Hill with a degree in Biology in 2005 and then continued at the UNC Adams School of Dentistry to achieve her doctorate in 2009. In 2009 Dr. Flowers opened her own practice in Sparta, the only one in her graduating class to open her own practice directly after dental school. She lives in Alleghany County with her husband, Joe, two daughters, and one very smart dog, Sheila. Dr. Flowers is the current president of the Blue Ridge Dental Society, the vice president of the Alleghany County Community Foundation and a Girl Scout leader. She is also an active member of the North Carolina Dental Society, the Chicago Dental Society, the Academy of General Dentistry, and the American Dental Association. In 2019 Dr. Flowers was awarded “Young Entrepreneur of the Year” by the Alleghany County Chamber of commerce for her contributions to the community and ten years serving the dental needs of the county.
Dr. Flowers has a passion for oral health care and continuing her education in the ever-changing world of dentistry, especially orthodontics. Dr. Flowers became a Certified Invisalign® Provider in 2012 and completed her Comprehensive Program in Straight Wire Orthodontics in 2017. Dr. Flowers takes great pride in furthering her education, keeping up with the latest advances in dental technology and taking her team to some of the best dental continuing education meetings in the country every year. Dr. Flowers works hard to provide the best possible care for her patients.
Dr. Flowers loves working with her team. It is very rewarding for her to be with a positive group of individuals who care so much for each and every patient. She is very excited to see what the future holds for us here at Sparta Smiles and hopes that includes you!